At the AACR Annual Meeting 2025, researchers and patient advocates shared insights into the impact of NIH funding cuts on cancer research.
The post The Impact of Funding Cuts: AACR Annual Meeting 2025 Shows Why Cancer Research Matters appeared first on American Association for Cancer Research (AACR).
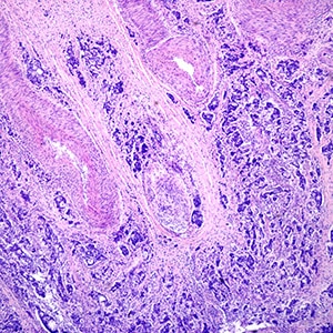
What Is a Gleason Score for Prostate Cancer? American Association for Cancer Research (AACR)
Learn how a Gleason score is calculated to help determine the aggressiveness of prostate cancer, and how it could influence a patient’s treatment.
The post What Is a Gleason Score for Prostate Cancer? appeared first on American Association for Cancer Research (AACR).
What does it mean for Biden’s prostate cancer to be ‘aggressive’? A urologic surgeon explains Health – The Conversation
Doctors examine a tumor in several different ways to determine whether a cancer is aggressive – and what kinds of treatments, if any, might work best.
Breakthroughs in the Blood: Leveraging Liquid Biopsy to Improve Cancer Care American Association for Cancer Research (AACR)
Research unveiled at the AACR Annual Meeting 2025 highlighted advances in blood-based liquid biopsy tests to help improve cancer care.
The post Breakthroughs in the Blood: Leveraging Liquid Biopsy to Improve Cancer Care appeared first on American Association for Cancer Research (AACR).
Biden is getting prostate cancer treatment, but that’s not the best choice for all men − a cancer researcher describes how she helped her father decide Health – The Conversation
Prostate cancer is one of the most common cancers in men. Although watchful waiting is appropriate for low-risk cases, many are diagnosed at an advanced stage because of racial health disparities.
Where tomorrow’s scientists prefer to live − and where they’d rather not Science + Tech – The Conversation
A survey of graduate students found that California and New York are the most desirable destinations. Over half of survey-takers said they’d be unwilling to move to Alabama, Mississippi or Arkansas.
AI can scan vast numbers of social media posts during disasters to guide first responders Science + Tech – The Conversation
Natural disasters prompt a flood of social media posts. AI can help sift the wheat of helpful information from the chaff of chitchat and misinformation.
Why collect asteroid samples? 4 essential reads on what these tiny bits of space rock can tell scientists Science + Tech – The Conversation
Missions that return asteroid samples bring home more than just very expensive dust. These samples can provide valuable insights for scientists and commercial interests.
Researchers uncovered hundreds of genes linked to OCD, providing clues about how it changes the brain − new research Science + Tech – The Conversation
Researchers examined the DNA of over 53,000 people with OCD and over 2 million people without OCD, gathering data that could one day improve treatment.
Why do cuts to Medicaid matter for Americans over 65? 2 experts on aging explain why lives are at stake Health – The Conversation
When people over 65 lose Medicaid coverage, they stop seeing their doctors for preventive care due to high costs. This in turn leads to worse health outcomes and higher health care costs.